Interventional Radiology
IHR offers a wide range of Ultrasound (USG) guided procedures under one roof for the convenience of the patients. All the procedures are conducted by the experts, using the latest and advanced equipment. They are daycare procedures and the patient is fit to go back home the same day.
USG guided procedures available at IHR -
-
Ovarian Cyst Aspiration
-
Ovum Pick Up (OPU)
-
Fetal Reduction
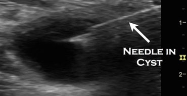
USG Guided Cyst Aspiration
An ultrasound-guided cyst aspiration is a minimally invasive procedure in which ultrasound is used to locate a cyst and guide a thin needle into the cyst to remove the fluid. It is used for the simple (non-cancerous) cyst, filled with clear fluid. It is usually done under IV sedation / G.A. via vaginal route.
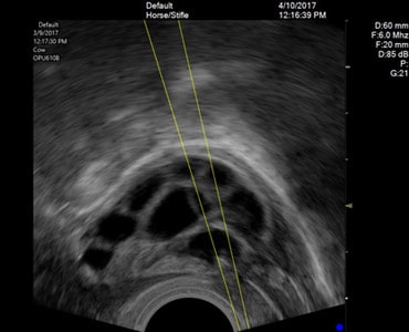
Egg Collection / Ovum Pick-Up (OPU)
Egg collection or Ovum Pick-Up (OPU), as the name suggests, is the procedure of collection of an egg from a woman who is undergoing an IVF procedure. It is one of the most important steps in IVF. It is similar to cyst aspiration, done using ultrasound, through the vaginal route. It is done under short general anaesthesia in a special operation theatre attached to an IVF lab. Fluid in the follicles which contains the egg is aspirated using the needle. Eggs are later picked from the fluid by the Embryologist under the perfect laboratory conditions and are fertilized with sperm to make the embryo.
Foetal reduction
IVF is often associated with the chances of having twins or triplets. Such pregnancies can be very challenging and associated with complications during pregnancy as well as childbirth. Foetal reduction is the procedure of selective reduction of one or more foetuses during early pregnancy, to allow a lesser number of foetuses to continue till term. It helps in reducing the complications associated with multiple pregnancies. It’s a safe procedure, and the chances of complications are very low. However, decision making can be emotionally challenging.
It is done under general anaesthesia. The foetuses are localised with an ultrasound probe through the vagina. Then, a small needle is used to inject a special drug which quickly stops the foetus’s heart.
Infection after foetal reduction is rare and precautions are taken to reduce the chances of infection. A small number of women can miscarry after the procedure.
Dr. Deepak Goenka, Director - Institute of Human Reproduction, Guwahati.

0361-2800800
(+91) 9864103333